Bebekte Gelişimini Tamamlayamamış İkiz Bulundu: Şok Edici Vaka

Şok Edici Durum: Bebekte Gelişimini Tamamlayamamış İkiz Bulundu

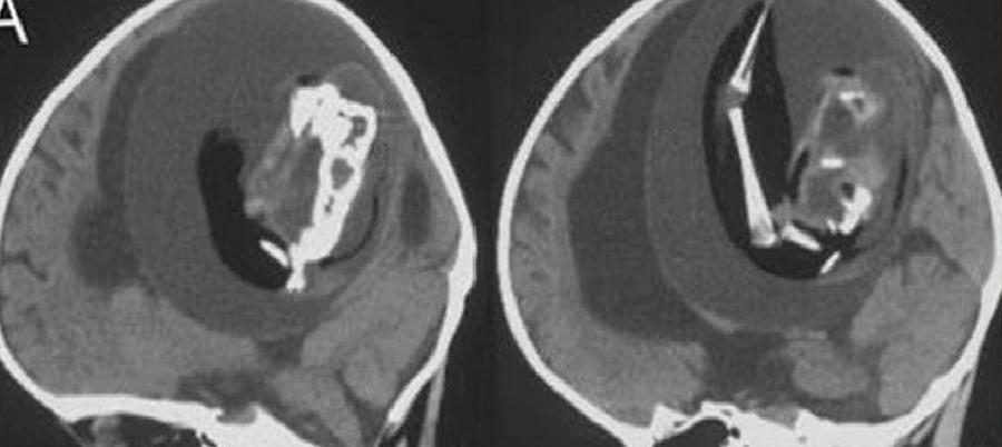
12 aylık bebeklerinin kafatasının anormal bir hızla büyüdüğünü fark eden bir aile, hayatlarının en büyük şokunu yaşadı. Anne karnındayken de kafatasında anormallikler tespit edilen bebek, doğum sırasında gelişimini tamamlayamayan ikizine ait bir ceninle birlikte dünyaya geldi.
Aile, bebeklerinin motor becerilerinde yaşadığı sorunlar ve kafatasındaki aşırı büyüme nedeniyle hastaneye başvurdu. Yapılan MR görüntülemeleri, tıp camiasını şaşkına çevirdi. Bebeklerinin kafasında kemiksi bir yapı tespit edildi ve detaylı incelemeler sonucunda, bu yapının aslında gelişimini tamamlayamamış bir fetüs olduğu belirlendi.
Gelişim Geriliği ve Motor Beceriler

Bebeğin baş çevresi yaklaşık 56,6 santimetreye kadar ulaşmıştı ve yaşıtlarına kıyasla ciddi bir gelişim geriliği gösteriyordu. Aile, bebeklerinin emekleme, yürüme, koşma, yuvarlanma, zıplama ve denge kurma gibi temel motor becerilerinde yaşadığı zorlukları dile getirdi. Ayrıca, konuşma ve tuvalet eğitiminde de güçlüklerle karşılaştıklarını aktardılar. Kafatasındaki anormal büyüme nedeniyle bebeğin denge kayıpları yaşadığı, ayakta durmakta, yürümekte ve oturmakta zorluk çektiği belirtiliyor. Kafasını sınırlı bir şekilde hareket ettirebiliyordu.
Ameliyata Alındı, Ancak Kurtarılamadı

Bebeğin durumu üzerine hemen ameliyat kararı alındı. Doktorların tüm çabalarına rağmen, 1 yaşındaki bebek kurtarılamadı. Ameliyat sırasında bebeğin kafasından; omurgası, gözleri, ağzı ve kolları gibi birçok organı gelişmiş bir fetüs çıkarıldı.
Nadir Ama İlk Vaka Değil

Doktorlar, bu olayın dünya üzerindeki ilk vaka olmadığını, geçmişte de benzer durumların kaydedildiğini, fakat bu tür vakaların son derece nadir görüldüğünü belirtti. Örneğin, 1982 yılında Londra’da benzer bir vaka yaşandı. Londra Hastanesi’nde, aynı şikayetlerle hastaneye getirilen 6 haftalık bir bebeğin beyninde yaklaşık 14 santimetre uzunluğunda bir fetüs tespit edildi ve operasyon sonrası bebeğin hızla iyileştiği gözlemlendi. Ayrıca, 2015 yılında Çin’de, doktorlar bir erkek ikizinin skrotal kesesinde doğmamış bir cenin bulunmuştu.
Kaynak: Yasemin











